
ORTODONCIA
Tipos de Ortodoncia Disponibles




Brackets metálicos tradicionales
Alineadores invisibles - Invisalign
✔ Sistema probado y altamente eficaz para casos simples y complejos.
✔ Ideales para corregir apiñamiento y problemas de mordida con resultados predecibles.
✔ Excelente relación costo–beneficio, una de las opciones más accesibles.
✔ Diseños actuales más pequeños y cómodos, con seguimiento profesional constante.
✔ Diseñados para quienes buscan una opción menos visible y más discreta.
✔ Fabricados en materiales que se asimilan al color natural del diente.
✔ Ideales para adultos y jóvenes que desean mantener una imagen profesional durante el tratamiento.
✔ Ofrecen resultados efectivos, combinando estética y funcionalidad, aunque con un costo un poco mayor que los metálicos.
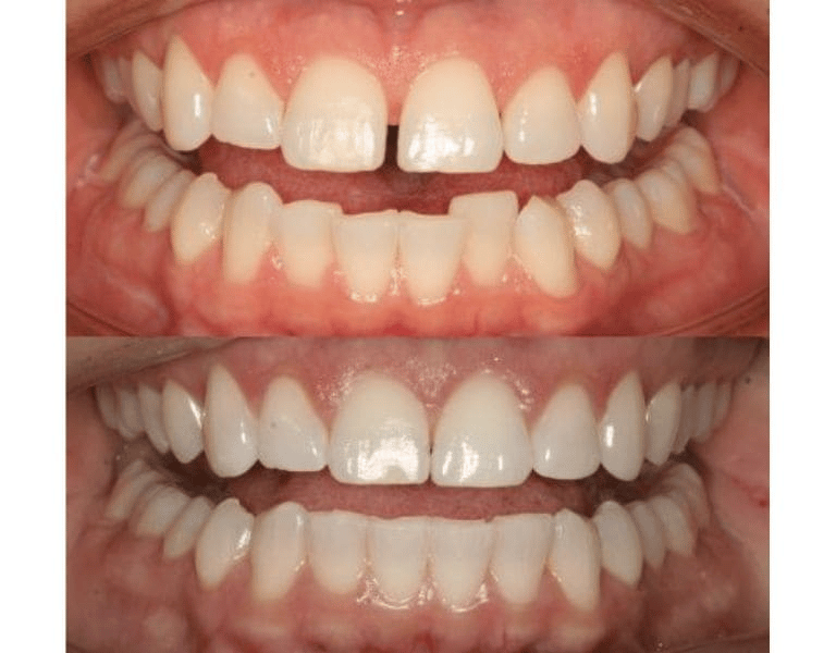
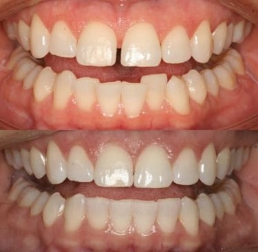
Asi se ve nuestro tratamiento








“Creí que el dolor sería insoportable, pero el proceso fue mucho más cómodo de lo que pensaba. Todo fue gradual y bien acompañado.”
“Pensé que iba a durar eternamente, pero desde el inicio me dieron un plan claro. El tiempo pasó más rápido de lo esperado.”
“Me preocupaba la estética, pero usé una opción muy discreta. Pude seguir con mi vida normal sin incomodidad.”
“No solo mejoró mi sonrisa, también dejé de tener dolores y problemas al masticar. Fue una mejora funcional y estética.”
